OMFT
OMFT (oro-myofunctionele therapie) is gericht op het herstellen van een verstoord evenwicht in het functioneren van de spieren in en om de mond.

OMFT (oro-myofunctionele therapie) is gericht op het herstellen van een verstoord evenwicht in het functioneren van de spieren in en om de mond.
Wat betekent dit?
“Normaal gesproken” is er een functioneel evenwicht tussen de werking van de spieren in en rond de mond. De kauwspieren, de tong, de lippen, de kinspieren, etc. oefenen daarbij ieder functionele krachten uit op het gebit. Als bepaalde spieren of spiergroepen dus niet goed functioneren, heeft dit vrijwel altijd direct gevolg voor de vorm van het gebit en/of de kaken. Vaak is dan ook de spraak afwijkend.
Het doel van de oro-myofunctionele therapie is dus het weer in evenwicht brengen van alle mondspieren door middel van oefeningen en het afleren van verkeerde reflexen, zodat vorm en functie van kaken en tanden/kiezen weer hersteld kunnen worden.
Wanneer OMFT-therapie?
- Voor kinderen / volwassenen die slissen.
- Voor kinderen / volwassenen die hardnekkig mondademen.
- Voor kinderen / volwassenen die een afwijkend slikpatroon hebben, waarbij de tong naar voren wordt bewogen tijdens het slikken (vaak tussen de tanden door).
- Voor kinderen die duimzuigen, vingerzuigen of speenzuigen, waar eigenlijk niet van af te komen is.
- Als er sprake is van een ‘slappe’ lipspanning.
- Als er sprake is van een smal en hoog verhemelte.
- Bij moeilijkheden met slikken of eten.
- Als er sprake is van een verkeerde tongpositie in rust;
- Bij kaakgewrichtsklachten.
- Bij kaakgewrichtsklachten.
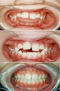
OMFT-therapie heeft vaak een positief effect op de stand van de tanden.
Wie zijn wij
Wij zijn Tyrza de Gans en Walenka Hollaar en zijn beide allround logopedist en praktijkhouder van ‘Logopediepraktijk Asklepios’.
Tarieven
De tarieven worden jaarlijks door de Nederlandse Zorgautoriteit vastgesteld. De kosten worden vergoed door uw zorgverzekeraar.
Aanmelden
U kunt zich telefonisch of per email aanmelden: zie Contact pagina. Vervolgens maken wij met u een afspraak voor kennismaking en intake.